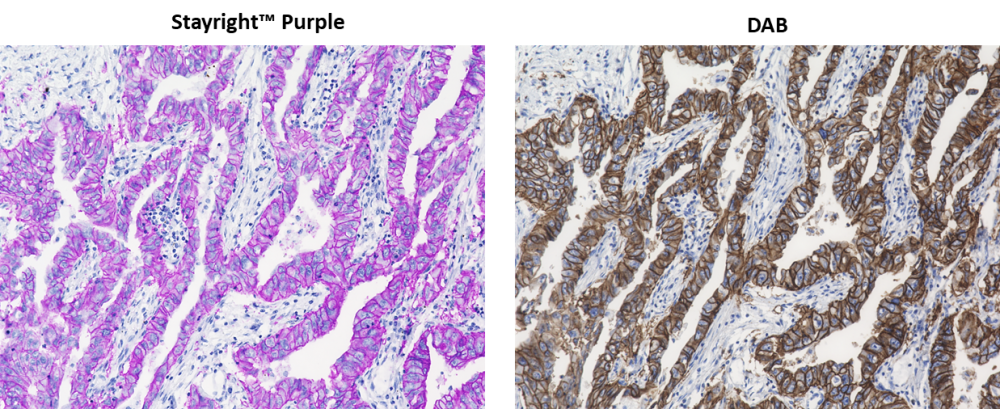
Immunohistochemistry (IHC) is a commonly used technique to monitor protein expression and localization in the context of tissue morphology. It uses antibodies to detect and analyze protein expression while maintaining the composition, cellular characteristics, and structure of native tissue. Chemical fixation locks molecular interactions within and between cells into place. Tissue samples may be embedded in paraffin wax or frozen before being cut into thin slices and mounted onto slides for analysis. Tissue collection, preservation, and fixation can vary greatly depending on the sample or the target of interest. The precise binding that occurs between an antibody and its epitope allows detection of highly specific amino acid sequences within a protein, targeting defined regions, domains, or cleavage products. Antibodies can also detect specific post-translational modifications (PTM) on a protein.
IHC is used for disease diagnosis, biological research, and in drug development. For example, using specific tumor markers, physicians use IHC to diagnose if a tumor is benign or malignant, to determine its stage and grade, and to identify the cell type and origin of a metastasis in order to find the site of the primary tumor. A variety of other non-neoplastic diseases and conditions are diagnosed using IHC as a primary tool or as a confirmatory procedure. In a research context, IHC can be used alone or in conjunction with other analytical techniques to study, for example, normal tissue and organ development, pathological processes, wound healing, cell death and repair, and many other fields.
