
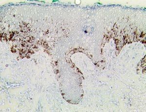
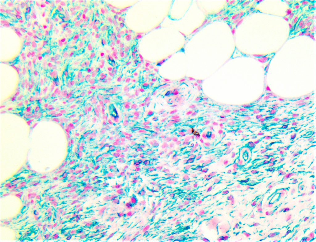
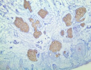
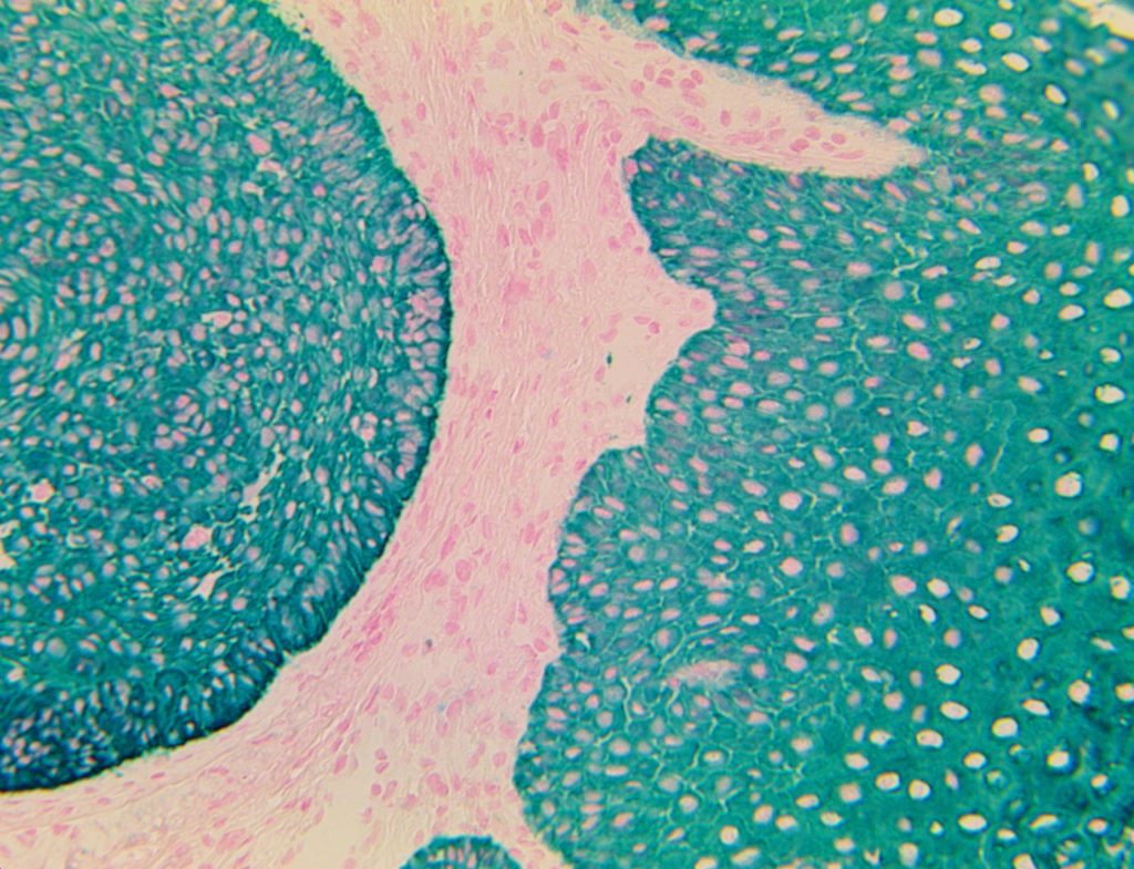
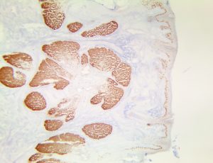
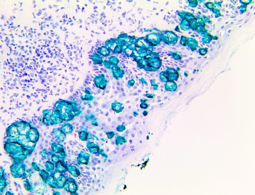
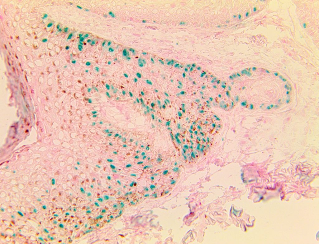
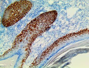
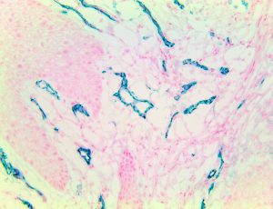
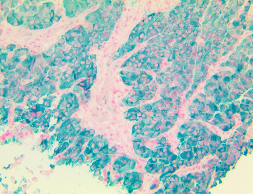
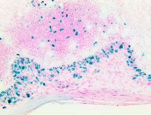
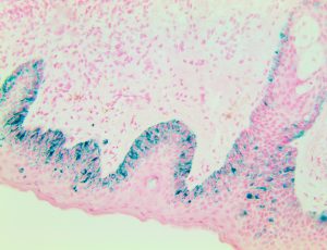
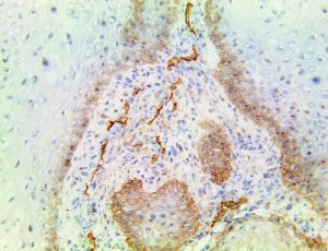
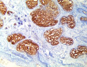
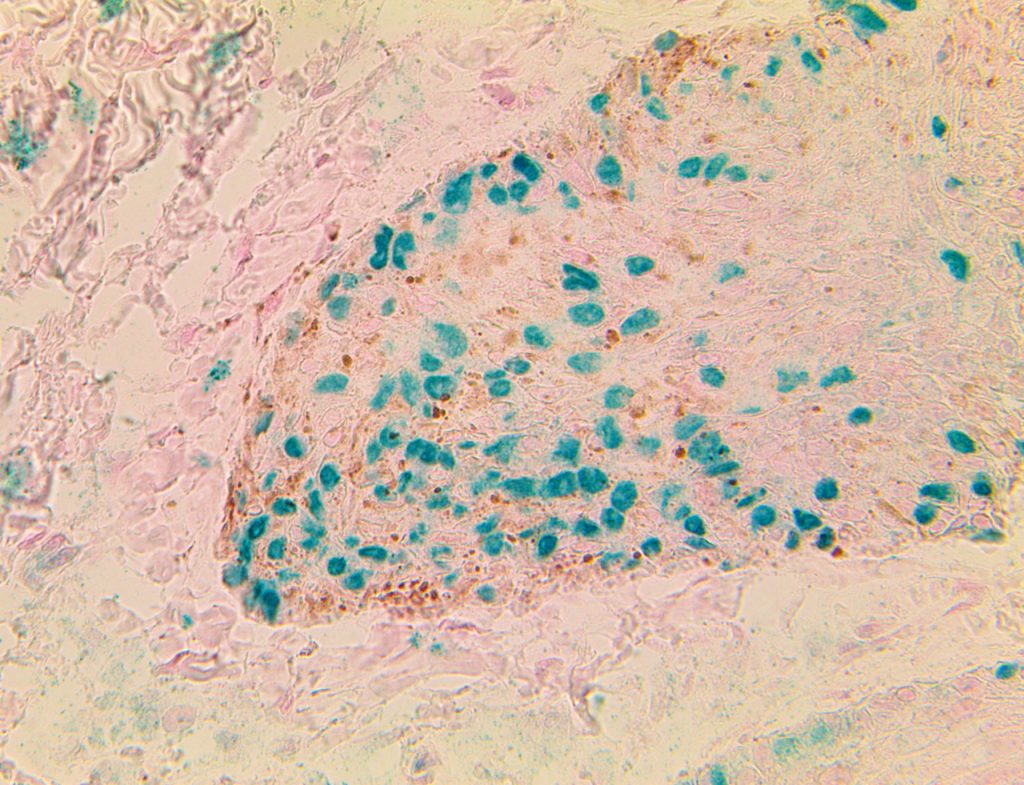
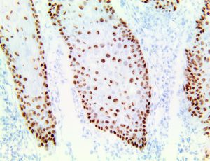
Bio SB has developed high affinity IVD monoclonal antibodies for fast immunohistochemistry (IHC) detection of melanoma, basal cell carcinoma (BCC), squamous cell carcinoma (SCC) and other Mohs surgery related conditions. Combined with our innovative IHC detection systems, we are opening the doors to a faster and more accurate immunohistochemistry applicable to Mohs surgery.
Bio SB has developed a fast, non-biotin monovalent Fab micropolymer IHC detection system for the detection of IVD antibodies for melanoma, BCC, SCC and other Mohs surgery related conditions. Our innovative IHC detection systems have opened the doors for a faster and accurate immunohistochemistry applicable to Mohs surgery.
