Buy 1 Organelle Protein Extraction Kit and Get 1 Free Animal or Plant Total Protein Extraction Kit

Free Protein Extraction Kit

Promo Code: ABK2022Q1
Valid through 01/01/2022 – 31/03/2022

Buy 1 Organelle Protein Extraction Kit and Get 1 Free Animal or Plant Total Protein Extraction Kit

Buy any large-size product in the list, you can get the large-size product of the column method protein extraction kit
(choose one of KTP3007/KTP3008).

Buy any small-size product in the list, and you can get small-size product of the a column method protein extraction kit
(choose one of KTP3007/KTP3008).

Fast and convenient:
Native protein extraction in 7 minutes.

Compatible:
Apply in various downstream assays, including WB, IP, SDS-PAGE, etc.

Protein integrity:
No protein loss, complete protein profile.

High protein yield:
Total protein is extracted from 50 mg of animal tissue, and the yield can reach 21 mg/mL.

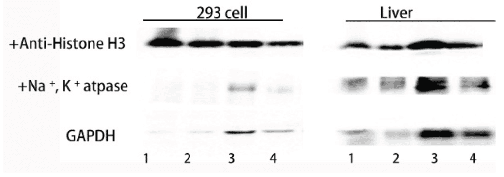
Fig.1 Total proteins were extracted from 293 cells and mouse liver. Lane 1, 5 μL proteins extracted by B assay kits; Lane 2, 2.5 μL proteins extracted by B assay kits; Lane 3, 5 μL proteins extracted by Abbkine assay kits; Lane 4, 2.5 μL proteins extracted by Abbkine assay kits.

Fast and convenient:
No need for liquid nitrogen grinding, the total protein can be extracted in 8 min.

Applicable samples:
Including plant tissue, leaves, seeds, soft stems, and roots.

Protein integrity:
Without altered protein profile, high yield (2-8 mg/mL).

Compatible:
Apply in various downstream assays, including WB, SDS-PAGE, etc.

Fig.2 Plant protein profiles extracted by denaturing cell lysis buffer (Abbkine KTP3008). Extracted proteins were separated in 12% SDSPAGE and stained with coomassie blue (BMU105-EN). Lane 1, soybean; lane 2, maize; lane 3, spinach; lane 4, Arabidopsis.

Product Name Cat. No. Size
ExKineTM Nuclear and Cytoplasmic Protein Extraction Kit KTP3001 50T/200T
ExKineTM Nuclear Protein Extraction Kit KTP3002 50T/200T
ExKineTM Cytoplasmic Protein Extraction Kit KTP3003 50T/200T
ExKineTM Total Membrane Protein Extraction Kit KTP3004 50T/200T
ExKineTM Membrane and Cytoplasmic Protein Extraction kit KTP3005 50T/200T
ExKineTM Total Protein Extraction Kit KTP3006 50T/200T
Protease Inhibitor Cocktail (100X) BMP1001 1 mL/1 mL×5
ExKineTM Pro Total Protein Extraction Kit for Animal Cultured Cells/Tissues KTP3007 5T/50T
ExKineTM Pro Total Protein Extraction Kit for Plant Tissues KTP3008 5T/50T
ExKineTM Nuclei Extraction Kit KTP4001 50T/200T
ExKineTM Nuclei Extraction Kit (High Purity) KTP4002 20T/100T
ExKineTM Mitochondrion Extraction Kit (Cultured Cells) KTP4003 50T/200T
ExKineTM Mitochondrion Extraction Kit (Tissue) KTP4004 50T/200T

SUPPORT

outstanding technical support

PRODUCT

we offer a full product guarantee

DELIVERY

we offer free delivery to UK universities and non profit organisations