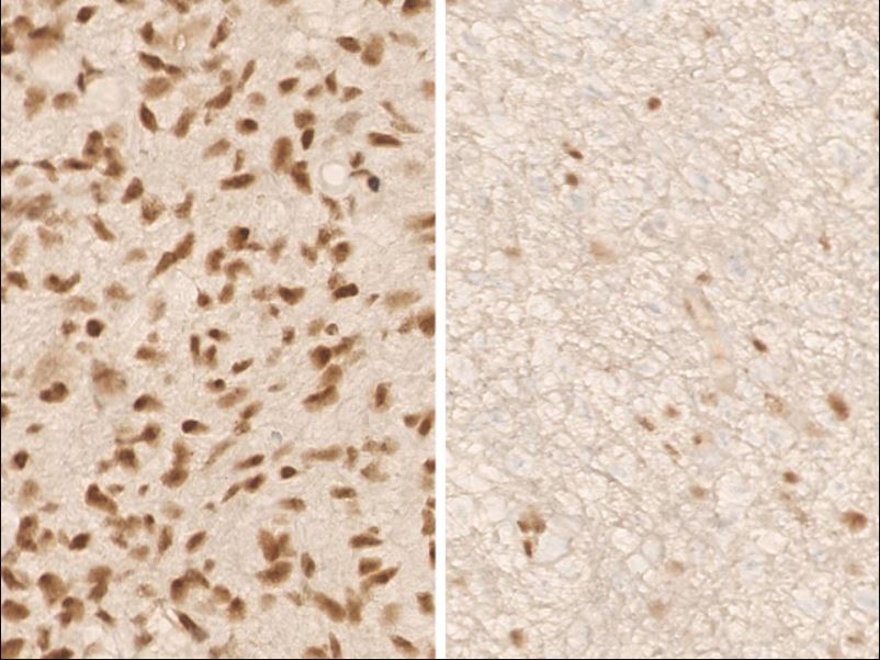
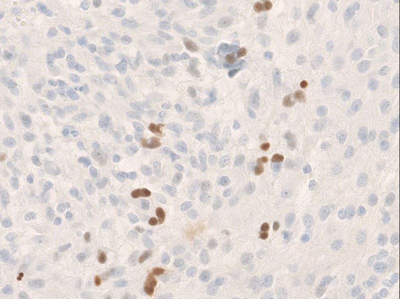
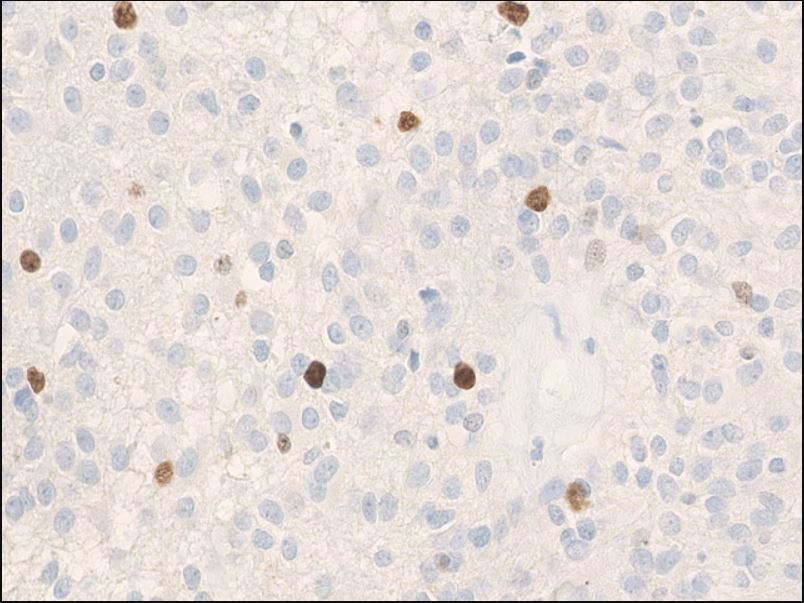
The routine practical approach for diagnosing astrocytomas and oligodendrogliomas begins with perfoming IHC for ATRX and IDH1 R132H expression. Stepwise analysis of molecular parameters with initial IHC for ATRX and IDH1 R132H followed by 1p/19q analysis and then by IDH sequencing significantly reduces the number of molecular tests required for unequivocal diagnosis (Reus et al., 2015).



