Catalogue Number: GTX102226-GTX
| Manufacturer: | GeneTex |
| Preservative: | 0.025% ProClin 300|0.025% ProClin 300 |
| Molecular Weight: | 89 |
| Physical state: | Liquid |
| Type: | Polyclonal Primary Antibody - Unconjugated |
| Alias: | tripartite motif containing 28 , KAP1 , PPP1R157 , RNF96 , TF1B , TIF1B |
| Shipping Condition: | Blue Ice |
| Unit(s): | 100 ul, 25 ul |
| Host name: | Rabbit |
| Clone: | |
| Isotype: | IgG |
| Immunogen: | Recombinant protein encompassing a sequence within the center region of human KAP1. The exact sequence is proprietary. |
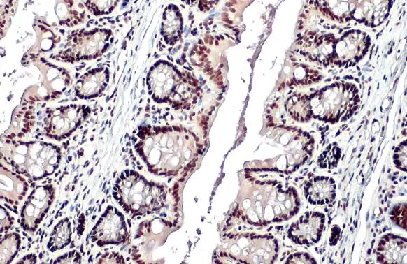
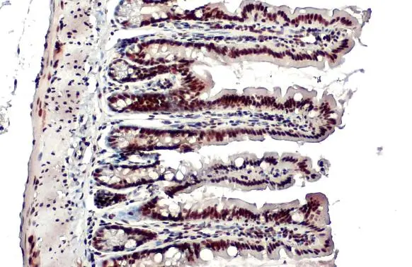
| Application: | ICC, IF, IHC-P, IP, ChIP, WB |
Description: The protein encoded by this gene mediates transcriptional control by interaction with the Kruppel-associated box repression domain found in many transcription factors. The protein localizes to the nucleus and is thought to associate with specific chromatin regions. The protein is a member of the tripartite motif family. This tripartite motif includes three zinc-binding domains, a RING, a B-box type 1 and a B-box type 2, and a coiled-coil region. [provided by RefSeq]
TRIM28
0.48 mg/ml
Affinity Purified
10155
89
Q13263
Polyclonal
For In vitro laboratory use only. Not for any clinical, therapeutic, or diagnostic use in humans or animals. Not for animal or human consumption
WB: 1:1000-1:10000. ICC/IF: 1:100-1:1000. IHC-P: 1:100-1:1000. IP: 1:500-1:1000. *Optimal dilutions/concentrations should be determined by the researcher.Not tested in other applications.
Store as concentrated solution. Centrifuge briefly prior to opening vial. For short-term storage (1-2 weeks), store at 4C. For long-term storage, aliquot and store at -20C or below. Avoid multiple freeze-thaw cycles.