Fatty Acid Synthase antibody [N1], N-term

Catalogue Number: GTX109833-GTX

Manufacturer:GeneTex
Preservative:0.025% ProClin 300|0.025% ProClin 300
Molecular Weight:273
Physical state:Liquid
Type:Polyclonal Primary Antibody - Unconjugated
Alias:fatty acid synthase , FAS , OA-519 , SDR27X1
Shipping Condition:Blue Ice
Unit(s): 100 ul, 25 ul
Host name: Rabbit
Clone:
Isotype: IgG
Immunogen: Recombinant protein encompassing a sequence within the N-terminus region of human Fatty Acid Synthase. The exact sequence is proprietary.
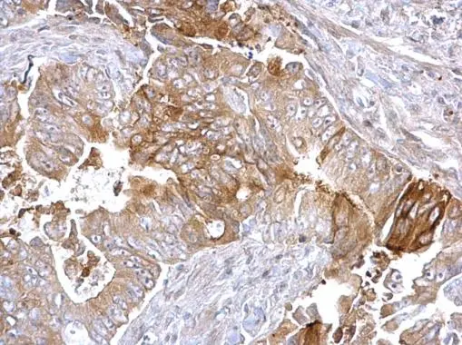
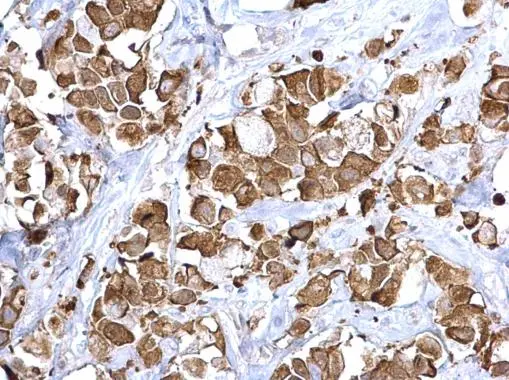
Application: ICC, IF, IHC-P, IP, WB, IHC-Fr

Description

Description: The enzyme encoded by this gene is a multifunctional protein. Its main function is to catalyze the synthesis of palmitate from acetyl-CoA and malonyl-CoA, in the presence of NADPH, into long-chain saturated fatty acids. In some cancer cell lines, this protein has been found to be fused with estrogen receptor-alpha (ER-alpha), in which the N-terminus of FAS is fused in-frame with the C-terminus of ER-alpha. [provided by RefSeq]

Additional Text

Gene Name

FASN

Gene ID

2194

Uniprot ID

P49327

Concentration

0.2 mg/ml

Purification

Affinity Purified

Molecular Weight

273

Antibody Clonality

Polyclonal

Note

For In vitro laboratory use only. Not for any clinical, therapeutic, or diagnostic use in humans or animals. Not for animal or human consumption

Application Notes

WB: 1:500-1:3000. ICC/IF: 1:100-1:1000. IHC-P: 1:100-1:1000. IP: 1:100-1:1000. *Optimal dilutions/concentrations should be determined by the researcher.Not tested in other applications.

Storage Note

Store as concentrated solution. Centrifuge briefly prior to opening vial. For short-term storage (1-2 weeks), store at 4C. For long-term storage, aliquot and store at -20C or below. Avoid multiple freeze-thaw cycles.