Caspase 3 antibody

Catalogue Number: GTX110543-GTX

Manufacturer:GeneTex
Preservative:0.025% ProClin 300|0.025% ProClin 300
Molecular Weight:32
Physical state:Liquid
Type:Polyclonal Primary Antibody - Unconjugated
Alias:caspase 3 , CPP32 , CPP32B , SCA-1
Shipping Condition:Blue Ice
Unit(s): 100 ul, 25 ul
Host name: Rabbit
Clone:
Isotype: IgG
Immunogen: Recombinant protein encompassing a sequence within the center region of human Caspase 3. The exact sequence is proprietary.
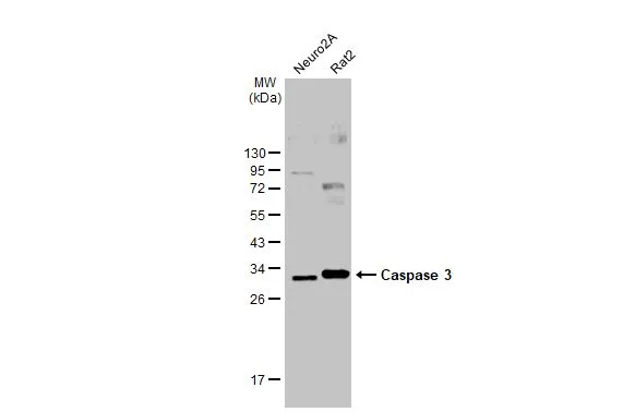
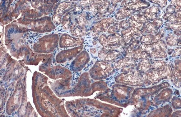
Application: IHC-P, IP, WB, IHC-Fr, DB

Description

Description: This gene encodes a protein which is a member of the cysteine-aspartic acid protease (caspase) family. Sequential activation of caspases plays a central role in the execution-phase of cell apoptosis. Caspases exist as inactive proenzymes which undergo proteolytic processing at conserved aspartic residues to produce two subunits, large and small, that dimerize to form the active enzyme. This protein cleaves and activates caspases 6, 7 and 9, and the protein itself is processed by caspases 8, 9 and 10. It is the predominant caspase involved in the cleavage of amyloid-beta 4A precursor protein, which is associated with neuronal death in Alzheimer's disease. Alternative splicing of this gene results in two transcript variants that encode the same protein. [provided by RefSeq]

Additional Text

Gene Name

CASP3

Gene ID

836

Molecular Weight

32

Uniprot ID

P42574

Concentration

0.15 mg/ml

Purification

Affinity Purified

Antibody Clonality

Polyclonal

Note

For In vitro laboratory use only. Not for any clinical, therapeutic, or diagnostic use in humans or animals. Not for animal or human consumption

Application Notes

WB: 1:500-1:10000. IHC-P: 1:100-1:1000. IP: 1:100-1:500. *Optimal dilutions/concentrations should be determined by the researcher.Not tested in other applications.

Short Description

Caspase 3 antibody detects caspase 3 protein, a 32 kDa zymogen (also known as pro-caspase 3) that is cleaved at conserved aspartic residues into 17 kDa and 12 kDa subunits upon activation. The cleaved subunits then form an active heterotetramer by hydrophobic interactions and trigger subsequent caspase cascades to induce the apoptotic phenotype.

Storage Note

Store as concentrated solution. Centrifuge briefly prior to opening vial. For short-term storage (1-2 weeks), store at 4C. For long-term storage, aliquot and store at -20C or below. Avoid multiple freeze-thaw cycles.