Immunohistochemistry (IHC) is an indispensable application routinely employed in academic and clinical research as well as in patient care. In addition to the quality of tissue section preparation, the pivotal component determining the reliability of IHC data is the suitability of the antibody used. This can only be assessed through strict and focused reagent validation for this assay.
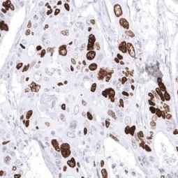
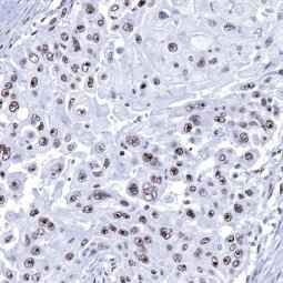
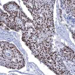
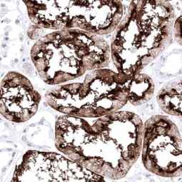
With this in mind, GeneTex is proud to introduce its HistoMAX product line that consists of antibodies specifically vetted for IHC. All of these reagents were extensively evaluated for IHC utilizing formalin-fixed normal and cancer tissue microarrays to guarantee specificity and best-in-class performance. Only antibodies that have passed these stringent performance criteria for IHC will be added to the HistoMAX portfolio.![]()
Please peruse the product listing below to identify the highly validated antibodies that you require for your IHC-based research.


































































