Biotin and Streptavidin

The biotin-streptavidin complex is one of the most popular tagging systems for the conjugation of biomolecules, such as proteins, lipids and nucleic acids, as well as that of synthetic molecules, such as fluorescent labels. It has found strong success in the area of sample preparation as a core part of many purification systems and plays a critical role in many detection systems for instruments such as microscopy and flow cytometry.

Biotin-Streptavidin Conjugation System


The widespread adoption of the biotin-streptavidin conjugation system is primarily due to two factors. The first is the relatively small size of the biotin and streptavidin molecules themselves, which allows for extensive binding to biologically active macromolecules, such as antibodies, without impedance to their functions (i.e. an antibody’s binding site). The second is the specificity with which biotin and streptavidin bind to each other, as well as the strength of the subsequent bond, which allows for powerful, stream-lined bioassay applications. Streptavidin tetramers have an extraordinarily high binding affinity for biotin with a dissociation constant (Kd) of approximately ∼10-14 mol/L. This tight and specific binding is rapid and able to withstand extremes in pH, temperature, organic solvents, and denaturing reagents.

Figure 1. Illustration of the Streptavidin-Biotin interaction. The multivalent properties of streptavidin allow it to bind up to four biotin molecules with a high degree of affinity. Biotin is typically conjugated to an enzyme, antibody or target protein.

 

Advantages of the biotin-streptavidin system

A key benefit of the biotin-streptavidin system is its ability to improve detection sensitivity. This in large part is due to the tetrameric conformation of streptavidin. One streptavidin protein has the capacity to bind four biotin molecules with high affinity and selectivity. This multiplicity enables the amplification of weak signals and improves the detection sensitivity for medium- and low-abundance targets in mammalian cells or tissues with a simple workflow.

Another key benefit is the versatility of the biotin-streptavidin system. Because streptavidin can be conjugated to a variety of reporter tags, it can be readily incorporated into virtually every immunoassay. For example, enzyme conjugates of streptavidin are widley used in enzyme-linked immunosorbent assays (ELISAs), while fluorescently labeled streptavidin, such as iFluor™ 488 streptavidin, are widely used in cell surface labeling, fluorescence activated cell sorting (FACS) and other fluorscence imaging applications.

Applications

 

Biotin


Biotin is a small 244 dalton hapten molecule. It’s exceptionally strong binding affinity for streptavidin is commonly exploited to detect and monitor biological targets of interest. Biotin exhibits two characteristics that make it ideal for bioconjugate development. First, is biotin’s relatively small size. This permits the labeling of multiple biotin tags to a single protein or antibody without significantly impeding their biological reactivity. Second, is the valeric acid side chain of the biotin molecule. This chain can be derivatized to facilitate the incorporation of various reactive groups used to chemically label biotin to proteins without altering biotin”s binding affinity for streptavidin.

AAT Bioquest offers biotinylated secondary antibodies, proteins, nucleotides and other small molecules for use in streptavidin-based amplification techniques. For assays in which a biotinylated probe is not available, we provide many biotinylation reagents and kits that enable reasearcher to chemically label proteins, nucleic acids and surface materials to make custom biotinylated reagents.

Featured Products

  • Fluorescent biotin derivatives
  • Biotinylated secondaries
  • Biotinylated nucleotides
  • Biotinylated amino acids
  • Reactive-biotin derivaitves
  • ReadiLink™ Protein Biotinylation Kit
  • Amplite™ Colorimetric Biotin Quantitation Kit

 

Fluorescent Biotin Derivatives


Fluorescent biotin derivatives contains both a fluorophore and a biotin moeity in the same molecule. These reagents are used for detecting and quantiting biotin-binding proteins by fluorescence. The strong quenching associated with streptavidin binding to fluorecent biotin can be used to precisely measure the concentration of streptavidin (or avidin).

Table 1. Available Products for Fluorescent Biotin Derivatives

Product Ex/Em (nm) Ext. Coeff.¹ FQY² Unit Size Cat No
Fluorescein biotin 497/516 80,000 0.79 5 mg 3017
Biotin-4-fluorescein *CAS 1032732-74-3* 492/518 80,000 0.79 5 mg 3006
Cy5 biotin conjugate 650/669 250,000 0.27 5 mg 3100

Note

  1. Ext. Coeff. = molar extinction coefficient at their maximum absorption wavelength (Units = cm-1M-1).
  2. FQY = fluorescence quantum yield in aqueous buffer (pH 7.2).

 

Biotinylated Secondary Antibodies


We offer biotinylated secondary antibodies to use with streptavidin-based amplification techniques. A key advantage to using a biotinylated secondary is the flexibility to use the same secondary antibody across multiple applications, by simply using a different streptavidin conjugate.

Readily available streptavidin conjugates

  • HRP-streptavidin (imaging requires an HRP substrate)
  • AP-streptavidin (imaging requires an AP substrate)
  • iFluor™-streptavidin
  • mFluor™-streptavidin
  • APC, PE & tandem dye-streptavidins (The intense bright fluorescence and rapid photobleaching of phycobiliproteins are excellent for flow cytometry applications)
Figure 2. Immunofluorescent stain of α-tubulin in HeLa cells. α-tubulin in fixed and permeabilized HeLa cells were labeled with rabbit anti-tubulin primary antibody, followed by incubation with biotinylated goat anti-rabbit IgG (H&L) (Cat No. 16794), and then visualized with iFluor™ 555-streptavidin conjugate (Cat No. 16989).

Table 2. Available Products for Biotinylated Secondary Antibodies

Product Host/Isotype Species Reactivity Unit Size Cat No.
Biotinylated goat anti-rabbit IgG (H+L) Goat/IgG Rabbit 1 mg 16794
Biotinylated goat anti-mouse IgG (H+L) Goat/IgG Mouse 1 mg 16729

Biotinylated Nucleotides


Biotin-modified nucleoside triphosphate analogs, such as dUTP and dCTP, can be enzymatically incorparted into DNA or RNA fragments for use in fluorescence in situ hybridization (FISH), DNA arrays, microarrays and other hybridization techniques. Standard enzymatic non-radioactive DNA labeling reactions including 3”-end labeling, cDNA labeling, nick translation, PCR and random prime labeling. Each biotinylated nucleotide contains either an 11-, 14-, 16- or 20-atom spacer between the biotin and its attachment point on the nulceotide. This facilitates its detection and signal amplification by fluorophore and enzyme streptavidin conjugates or agarose and magnetic beads.

 

Table 3. Available Biotinylated Nucleotides

Product Linker Length Unit Size Cat No.
Biotin-11-dUTP 11 carbons 25 nmoles 17016
Biotin-16-dUTP 16 carbons 25 nmoles 17017
Biotin-20-dUTP 20 carbons 25 nmoles 17018
Biotin-14-dCTP 14 carbons 25 nmoles 17019

Biotinylated Amino Acids


Biotinylated peptides are suitable for immunodetection studies and biomedical screening assays that require immobilization onto streptavidin or avidin coated microtitre plates, beads or membranes. Biotin can be linked to the N-terminus of peptides or to the side chains of lysine (Lys), glutamic acid (Glu) or aspartic acid (Asp) during Fmoc solid phase synthesis. Incorportion of a PEG-spacer in both FMOC-Glu(biotinyl-PEG)-OH and FMOC-Asp(biotinyl-PEG)-OH reduces steric hindrance between target peptide and streptavidin, leading to better biotin binding. The hydrophilic nature of the PEG-spacer minimizes non-specific interactions and improves the solubility of the reagent and biotinylated peptide.

 

Table 4. Available Biotinylated Amino Acids

Product Labeling Principle Derivative Unit Size Cat No.
FMOC-Lys(Biotin)-OH Uses FMOC-SPPS to prepare biotin-labeled peptides Lysine 100 mg 5020
FMOC-Glu(biotinyl-PEG)-OH Uses FMOC-SPPS to prepare biotin-labeled peptides Glutamic acid 100 mg 5026
FMOC-Glu(biotinyl-PEG)-OH Uses FMOC-SPPS to prepare biotin-labeled peptides Glutamic acid 1 g 5027
FMOC-Asp(biotinyl-PEG)-OH Uses FMOC-SPPS to prepare biotin-labeled peptides Aspartic acid 100 mg 5023
FMOC-Asp(biotinyl-PEG)-OH Uses FMOC-SPPS to prepare biotin-labeled peptides Aspartic acid 1 g 5024

Reactive-Biotin Derivatives


Reactive biotin derivatives contain reactive moieties, such as succinimidyl esters or maleimides, that facilitate the labeling of biotin onto proteins, antibodies and other macromolecules. When selecting a reactive biotin derivative, consider the following:

  • Funtional group targeting – specific reactive moieties target and bind to their respective functional groups for targeted or non-selective biotinylation of proteins and other macromolecules (e.g. succinimidyl esters target primary amines and maleimides target thiol or sulfhydryl groups).
  • Solubility – this influences biotinylation of the target protein or macromolecule.
  • Spacer Arm Length (PEG) – enhance detection senstivity of the target protein and reduces steric hindrance

 

Table 5. Available Reactive Biotinylation Reagents

Product Chemical Reactivity Reactive Moiety Unit Size Cat No.
Biotin, succinimidyl ester *CAS 35013-72-0* Amine Succinimidyl Ester 100 mg 3002
Biotin-X, succinimidyl ester *CAS 72040-63-2* Amine Succinimidyl Ester 25 mg 3010
Biotin PEG2 succinimidyl ester Amine Succinimidyl Ester 25 mg 3016
Biotin PEG4 succinimidyl ester Amine Succinimidyl Ester 25 mg 3022
Biotin C2 maleimide Thiol Maleimide 25 mg 3005
Biotin PEG2 maleimide *CAS 305372-39-8* Thiol Maleimide 5 mg 3015
Biotin PEG2 amine *CAS 138529-46-1* Aldehyde, Carboxylic Acid, Ketone Amine 5 mg 3014
Biotin PEG3 amine Aldehyde, Carboxylic Acid, Ketone Amine 5 mg 3024
Biotin cadaverine Aldehyde, Carboxylic Acid, Ketone Cadaverine 5 mg 3004
Biotin ethylenediamine *CAS 216299-38-6* Aldehyde, Carboxylic Acid, Ketone Ethylenediamine 5 mg 3003
Biotin hydrazide *CAS 66640-86-6* Aldehyde, Carboxylic Acid, Ketone Hydrazide 5 mg 3007
Biotin Azide Alkyne Azide 5 mg 3020
Biotin-PEG3-azide *CAS 945633-30-7* Alkyne Azide 5 mg 3019
Biotin Alkyne *CAS 1006592-45-5* Azide Alkyne 5 mg 3021

ReadiView™ Biotinylation Reagents

Determining a protein’s degree of biotinylation is quite challenging because the intrinsic absorption of biotin is difficult to discern from proteins and nucliec acids. To facilitate this determination, we offer a series of chromophoric reactive boitin derivatives, ReadiView™ biotin. These novel biotinylation reagents contain a specially designed ‘Color Tag (CT)’ optimally positioned between two spacer arms. These spacer arms reduce steric hindrance and improve water solubility, while the CT tag makes the degree of biotinylation readily quantifiable by calculating the absorption ratio of 280 nm/385 nm. The CT tag does not affect biotins complexation with streptavidin and has minimal quenching affect on fluorescent streptavidin conjugates. ReadiView™ biotin is availble in amine-reactive, thiol-reactive and click-chemistry formats.

Figure 3. ReadiView™ biotin succinimidyl ester (Cat No. 3059) conjugated with specially designed color tag (CT) for easy determination of biotinylation.

 

Table 6. Available ReadiView™ Biotin Products

Product Chemical Reactivity Spacer Unit Size Cat No.
ReadiView™ biotin succinimidyl ester Amines Pegylated 5 mg 3059
ReadiView™ biotin maleimide Thiol or sulfhydryl groups Pegylated 5 mg 3058
ReadiView™ biotin hydrazide Aldehyde, Carboxylic acid, Ketone Pegylated 5 mg 3055
ReadiView™ biotin amine Carbonyl Pegylated 5 mg 3053
ReadiView™ biotin acid Amine Pegylated 5 mg 3050

Enzyme-Labeled Streptavidin Conjugates


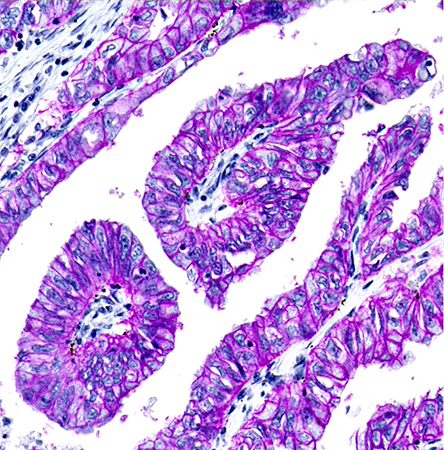
Enzyme-labeled streptavidin conjugates are commonly used in enzyme-linked immunosorbent assay (ELISA), immunohistochemistry, immunoblotting, and in situ hybridization techniques. Enzymes horseradish peroxidase (HRP) and alkaline phosphatase (ALP) are extensively used as reporter tags because of their high turnover rate, stability, ease of conjugation and low cost.

To maximize retention of both enzyme and protein activity, our HRP-streptavidin and AP-streptavidin conjugates are prepared at a 1:1 (enzyme to streptavidin) labeling ratio. Chromogenic, fluorogenic and chemiluminescent stubstrates are available for these enzyme conjugates.

Figure 4. IHC detection of EpCAM in FFPE lung adenocarcinoma tissue. Human adenocarcinoma tissue sections were incubated with rabbit anti-EpCAM primary antibody followed by biotyinylated goat-anti rabbit IgG (H&L). The samples were then incubated with HRP-streptavidin, and the signal was developed using ReadiUse™ Stayright™ Purple.

Table 7. Available Enzyme-labeled Streptavidin Conjugates

Product Enzyme Unit Size Cat No.
HRP-streptavidin conjugate Horseradish peroxidase (HRP) 1 mg 16920
AP-streptavidin conjugate Alkaline phosphatase (AP) 1 mg 16921

Table 8. Available HRP Substrates

Product Detection Abs/Ex (nm) Ex (nm) Unit Size Cat No.
ReadiUse™ ABTS Chromogenic 420 1 L 11001
ReadiUse™ TMB Chromogenic 650 100 mL 11012
ReadiUse™ TMB Chromogenic 650 1 L 11003
Amplite™ ADHP Fluorogenic 571 584 25 mg 11000
Amplite™ Blue Fluorogenic 324 409 25 mg 11005
Amplite™ Red Fluorogenic 571 584 1000 Assays 11011
Amplite™ IR Fluorogenic 648 668 1 mg 11009
Luminol Chemiluminescent 355 412 1 g 11050

Table 9. AP-Streptavidin Conjugate & Substrates

Product Detection Abs/Ex (nm) Ex (nm) Unit Size Cat No.
pNPP *CAS 4264-83-9* Chromogenic 405 25 mg 11619
FDP *CAS 217305-49-2* Fluorogenic 498 517 5 mg 11600
MUP, disodium salt *CAS 22919-26-2* Fluorogenic 360 448 25 mg 11610
MUP, disodium salt *CAS 22919-26-2* Fluorogenic 360 448 10 g 11612
DiFMUP Fluorogenic 358 450 5 mg 11627
SunRed™ Phosphate Fluorogenic 653 661 5 mg 11629
D-Luciferin phosphate *CAS 145643-12-3 Chemiluminescent 5 mg 12512

Fluorescent Streptavidin Conjugates


Fluorescent streptavidin conjugates are widely used in fluorescence imaging to detect biotinylated antibodies, ligands and DNA probes for in situ hybridization techniques, immunohistochemistry and multicolor flow cytometry. We offer a comprehensive portfolio of fluorescent streptavidin labeled with iFluor™ dyes, mFluor™ dyes, phycobiliproteins and tandem dyes, and more. Benefits of our iFluor™ streptavidin conjugates include exceptionally bright fluorescence, excellent photostability and pH insensitive fluroescence over a wide molar range.

 

iFluor™ Streptavidin Conjugates

Streptavidin conjugates labeled with iFluor™ dyes exhibit exceptionally bright and photostable fluorescence, outperforming Alexa Fluor® and other spectrally similar conjugtes. iFluor™ streptavidin conjugates are designed for use in a variety of cell analysis and protein analysis applications including imaging, flow cytometry and fluorescent western blotting. As a precaution, avoid using blue fluorescent streptavidin conjugates when detecting low abundance targets. Blue fluorescent dyes have lower fluorescence and can experience higher non-specific background than other dyes.

Figure 5. Immunofluorescent stain of &alpha-tubulin in HeLa cells. &alpha-tubulin in fixed and permeabilized HeLa cells were incubated with rabbit anti-tubulin primary antibody, followed by incubation with biotinylated goat anti-rabbit IgG (H&L) (Cat No. 16794), and then visualized with iFluor™ 647-streptavidin conjugate (Cat No. 16966. Nuclei were counterstained using DAPI (Cat No. 17507.)

Table 10. iFluor-Streptavidin Conjugates For Imaging and Flow Cytometry

Product Ex/Em (nm) Filter Set Ext. Coeff.¹ FQY² Unit Size Cat No.
iFluor™ 350 Streptavidin 344/448 DAPI 20,000 0.95 1 mg 16980
iFluor™ 405 Streptavidin 402/425 DAPI 37,000 0.91 1 mg 16982
iFluor™ 488 Streptavidin 491/516 FITC 75,000 0.9 1 mg 16985
iFluor™ 514 Streptavidin 527/554 TRITC 80,000 0.83 1 mg 16986
iFluor™ 532 Streptavidin 543/563 TRITC 90,000 0.68 1 mg 16987
iFluor™ 546 Streptavidin 541/557 TRITC 100,000 0.67 200 µg 16958
iFluor™ 555 Streptavidin 556/569 TRITC 100,000 0.64 1 mg 16989
iFluor™ 568 Streptavidin 568/587 TRITC 100,000 0.57 200 µg 16960
iFluor™ 594 Streptavidin 587/603 Texas Red 180,000 0.53 1 mg 16992
iFluor™ 633 Streptavidin 638/652 Texas Red 250,000 0.29 1 mg 16995
iFluor™ 647 Streptavidin 654/669 Cy5 250,000 0.25 1 mg 16996
iFluor™ 680 Streptavidin 683/700 Cy5.5 220,000 0.23 1 mg 16997
iFluor™ 700 Streptavidin 690/713 Cy5.5 220,000 0.23 1 mg 16998
iFluor™ 750 Streptavidin 756/777 Cy7 275,000 12 1 mg 16999
iFluor™ 790 Streptavidin 786/811 Cy7 250,000 0.13 200 µg 16975
iFluor™ 800 Streptavidin 801/820 Cy7 250,000 0.11 200 µg 16976
iFluor™ 820 Streptavidin 820/849 Cy7 250,000 N/D³ 200 µg 16977
iFluor™ 840 Streptavidin 836/876 Cy7 200,000 N/D³ 200 µg 16978
iFluor™ 860 Streptavidin 852/877 Cy7 250,000 N/D³ 200 µg 16979

Note

  1. Ext. Coeff. = Extinction coefficient at their maximum absorption wavelength. The units of extinction coefficient are cm-1M-1.
  2. FQY = fluorescence quantum yield in aqueous buffer (pH 7.2).
  3. N/D = Not determined.

mFluor™ Streptavidin Conjugates for Flow Cytometry


Streptavidin conjugates labeled with mFluor™ dyes exhibit minimal self-quenching, producing intensely fluorescent and photostable conjugates for flow cytometery. mFluor™ streptavidin conjugates are designed for optimal excitation by one of the major laser lines commonly equipped in flow cytometers, such as the 405 nm, 488 nm, 532 nm, 561 nm or 633 nm laser lines.

Figure 6. Flow cytometry analysis of HL-60 cells stained with (Red) or without (Green) 1ug/ml Anti-Human HLA-ABC-Biotin and then followed by mFluor™ Blue 570-streptavidin conjugate (Cat No.16935).

Table 11. mFluor™ Streptavidin Conjugates for Flow Cytometry

Streptavidin Conjugates Ex (nm) Em (nm) Filter Set Cat No.
mFluor™ Violet 450 Streptavidin 405 444 450/40 16930
mFluor™ Violet 510 Streptavidin 408 503 525/50 16931
mFluor™ Violet 540 Streptavidin 393 536 525/50 16932
mFluor™ Blue 570 Streptavidin 505 564 575/26 16935
mFluor™ Green 620 Streptavidin 522 621 610/20 16938
mFluor™ Yellow 630 Streptavidin 609 626 610/20 16942
mFluor™ Red 700 Streptavidin 685 704 730/45 16946
mFluor™ Red 780 Streptavidin 629 780 780/60 16948

Streptavidin APC, PE, PerCP and Tandem Dye Conjugates for Flow Cytometry


Streptavidin PE, APC and PerCP conjugates are commonly used in applications that require high sensitivity, but not phostostability, primarily flow cytometry, FACS, immunophenotyping, and microarrays. The unusually bright fluorescence of phycobiliproteins is due to their unusually high extinction coefficients and quantum yields.

Tandem dye conjugates compromise of a donor phycobiliprotein (e.g. APC or PE) labeled to acceptor iFluor™ dyes that emit fluorescence at a longer-wavelength. Using fluorescence resonance energy transer (FRET), light absorbed by the the donor phycobiliprotein results in fluorescence emission of the acceptor. In flow cytometry, tandem dyes are ideally suited for multicolor parametric analysis of cells due to their exploitation of a single excitation source and their significantly large Stokes shifts.

 

Table 12. Streptavidin APC, PE, PerCP and Tandem Dye Conjugates for Flow Cytometry

Streptavidin Conjugates Ex (nm) Em (nm) Filter Set Cat No.
RPE Streptavidin 564 574 575/26 16900
APC Streptavidin 651 660 660/20 16902
PerCP Streptavidin 477 678 695/40 16905
RPE-iFluor™ 647 Streptavidin 568 666 670/14 16906
RPE-iFluor™ 750 Streptavidin 566 778 780/60 16907
APC-iFluor™ 750 Streptavidin 651 791 780/60 16908
RPE-Cy7 Streptavidin 566 778 780/60 16916

Streptavidin-Xtra™ Conjugates

The optimal degree of labeling of Streptavidin-Xtra™ iFluor™ conjugates produce the brightest fluorescent streptavidin conjugates for the detection of biotinylated antibodies in cell imaging, flow cytometry and western blot applications. Streptavidin-Xtra™ iFluor™ conjugates image low-abundance targets with greater sensitivity and detail compared to traditional streptavidin Alexa Fluor® conjugates.

 

Advantages

  • Bright and photostable fluorescence without significant self-quenching
  • High siganl-to-noise ratios: 3∼5 fold signal improvement versus Alexa Fluor®
  • pH insensitive fluroescence over a wide molar range
Figure 7. Comparison of HeLa cells stained with Streptavidin-Xtra™ IF488 and Streptavidin-Alexa Fluor® 488.HeLa cells were fixed with 4% paraformaldehyde for 30 minutes, permeabilized with 0.02% Triton™ X-100 for 10 minutes, blocked with 1% BSA for 1 hour and labeled with 1 µg/mL α-tubulin Mouse mAb for 1 hour at room temperature. Biotinylated goat anti-mouse IgG (H+L) (Cat No. 16729) was used for detection α-tubulin and visualized with Streptavidin-Xtra™ iFluor 488 (Cat No. 46001) and Streptavidin-Alexa Fluor® 488. Cells were counterstained with Hoechst 33342 (Cat No. 17535).

Table 13. Streptavidin-Xtra™ Conjugates

Streptavidin Conjugates Ex (nm) Em (nm) Filter Set Cat No.
Streptavidin-Xtra™ iFluor™ 488 491 516 FITC 46001
Streptavidin-Xtra™ iFluor™ 555 556 569 TRITC 46003
Streptavidin-Xtra™ iFluor™ 594 587 603 Texas Red 46005
Streptavidin-Xtra™ iFluor™ 647 654 669 Cy5 46007

Product Ordering Information


Table 14. Ordering Info for Biotin Products

Cat# Product Name Unit Size Ex Em
3001 Biotin *CAS 58-85-5* 1 g
3002 Biotin, succinimidyl ester *CAS 35013-72-0* 100 mg
3003 Biotin ethylenediamine *CAS 216299-38-6* 10 mg
3004 Biotin cadaverine 25 mg
3005 Biotin C2 maleimide 25 mg
3006 Biotin-4-fluorescein *CAS 1032732-74-3* 5 mg 492 518
3007 Biotin hydrazide *CAS 66640-86-6* 25 mg
3009 Biotin-X NTA [Biotin-X nitrilotriacetic acid, potassium salt] *CAS 856661-92-2* 1 mg
3010 Biotin-X, succinimidyl ester *CAS 72040-63-2* 25 mg
3014 Biotin PEG2 amine *CAS 138529-46-1* 5 mg
3015 Biotin PEG2 maleimide *CAS 305372-39-8* 5 mg
3016 Biotin PEG2 succinimidyl ester 25 mg
3017 Fluorescein biotin 5 mg 492 515
3019 Biotin-PEG3-azide *CAS 945633-30-7* 5 mg
3020 Biotin Azide 5 mg
3021 Biotin Alkyne *CAS 1006592-45-5* 5 mg
3022 Biotin PEG4 succinimidyl ester 25 mg
3050 ReadiView™ biotin acid 25 mg
3053 ReadiView™ biotin amine 5 mg
3055 ReadiView™ biotin hydrazide 5 mg
3058 ReadiView™ biotin maleimide 5 mg
3059 ReadiView™ biotin succinimidyl ester 5 mg
5520 ReadiLink™ Protein Biotinylation Kit 2 Labelings
5521 ReadiLink™ Protein Biotinylation Kit *Powered by ReadiView™ Biotin Visionization Technology* 1 kit
5522 Amplite™ Colorimetric Biotin Quantitation Kit 200 Tests 500
16729 Biotinylated goat anti-mouse IgG (H+L) 1 mg
16794 Biotinylated goat anti-rabbit IgG (H+L) 1 mg
17016 Biotin-11-dUTP *1 mM in Tris Buffer (pH 7.5)* *CAS 86303-25-5* 25 nmoles
17017 Biotin-16-dUTP *1 mM in Tris Buffer (pH 7.5)* *CAS 136632-31-0* 25 nmoles
17018 Biotin-20-dUTP *1 mM in Tris Buffer (pH 7.5)* 25 nmoles
20605 Cal-520®-Biotin Conjugate 5×50 ug 492 514

Table 15. Ordering Info for Streptavidin Products

Cat# Product Name Unit Size
16900 RPE-streptavidin conjugate 100 ug
16901 RPE-streptavidin conjugate 1 mg
16902 APC-streptavidin conjugate 100 ug
16905 PerCP-streptavidin conjugate 100 ug
16906 RPE-iFluor™ 647-streptavidin conjugate 100 ug
16907 RPE-iFluor™ 750-streptavidin conjugate 100 ug
16908 APC-iFluor™ 750-streptavidin conjugate 100 ug
16910 FITC-streptavidin conjugate 1 mg
16911 Texas Red®-streptavidin conjugate 1 mg
16912 Cy3®-streptavidin conjugate 1 mg
16913 Cy5®-streptavidin conjugate 1 mg
16914 Cy7®-streptavidin conjugate 1 mg
16920 HRP-streptavidin conjugate 1 mg
16921 AP-streptavidin conjugate [Streptavidin-alkaline phosphatase conjugate] 1 mg
16925 trFluor™ Eu-streptavidin conjugate 100 ug
16926 trFluor™ Tb-streptavidin conjugate 100 ug
16930 mFluor™ Violet 450-streptavidin conjugate 100 ug
16931 mFluor™ Violet 510-streptavidin conjugate 100 ug
16932 mFluor™ Violet 540-streptavidin conjugate 100 ug
16935 mFluor™ Blue 570-streptavidin conjugate 100 ug
16938 mFluor™ Green 620-streptavidin conjugate 100 ug
16942 mFluor™ Yellow 630-streptavidin conjugate 100 ug
16946 mFluor™ Red 700-streptavidin conjugate 100 ug
16948 mFluor™ Red 780-streptavidin conjugate 100 ug
16950 iFluor™ 350-streptavidin conjugate 200 ug
16952 iFluor™ 405-streptavidin conjugate 200 ug
16955 iFluor™ 488-streptavidin conjugate 200 ug
16956 iFluor™ 514-streptavidin conjugate 200 ug
16957 iFluor™ 532-streptavidin conjugate 200 ug
16958 iFluor™ 546-streptavidin conjugate 200 ug
16959 iFluor™ 555-streptavidin conjugate 200 ug
16960 iFluor™ 568-streptavidin conjugate 200 ug
16962 iFluor™ 594-streptavidin conjugate 200 ug
16965 iFluor™ 633-streptavidin conjugate 200 ug
16966 iFluor™ 647-streptavidin conjugate 200 ug
16968 iFluor™ 680-streptavidin conjugate 200 ug
16970 iFluor™ 700-streptavidin conjugate 200 ug
16973 iFluor™ 750-streptavidin conjugate 200 ug
16980 iFluor™ 350-streptavidin conjugate 1 mg
16982 iFluor™ 405-streptavidin conjugate 1 mg
16985 iFluor™ 488-streptavidin conjugate 1 mg
16986 iFluor™ 514-streptavidin conjugate 1 mg
16987 iFluor™ 532-streptavidin conjugate 1 mg
16989 iFluor™ 555-streptavidin conjugate 1 mg
16992 iFluor™ 594-streptavidin conjugate 1 mg
16995 iFluor™ 633-streptavidin conjugate 1 mg
16996 iFluor™ 647-streptavidin conjugate 1 mg
16997 iFluor™ 680-streptavidin conjugate 1 mg
16998 iFluor™ 700-streptavidin conjugate 1 mg
16999 iFluor™ 750-streptavidin conjugate 1 mg

SUPPORT

outstanding technical support

PRODUCT

we offer a full product guarantee

DELIVERY

we offer free delivery to UK universities and non profit organisations