The 2019 Nobel Prize in Physiology or Medicine was awarded to William G. Kaelin Jr., Sir Peter J. Ratcliffe, and Gregg L. Semenza in recognition of their discovery of cellular mechanisms to sense and adapt to different oxygen concentrations, establishing a basis for how oxygen levels affect physiological function. Their work contributed new understanding of normal processes involving metabolism, embryonic development, and the immune response, among others. In addition, novel perspectives on pathological states including anemia, ischemia, infection, and cancer were derived from their research.
Dr. Semenza identified hypoxia-inducible factor (HIF-1α and ARNT, also known as HIF-1β), the primary transcription factor complex that drives expression of hypoxia-regulated proteins such as vascular endothelial growth factor (VEGF), erythropoietin (EPO), and carbonic anhydrase IX (CAIX). Drs. Kaelin and Ratcliffe described the proteasomal degradation of HIF-1α during normoxia through its interaction with the von Hippel-Lindau tumor suppressor protein (VHL), and how this interaction is enabled by prolyl hydroxylation (Fig. 1).
Fig. 1. Hypoxia regulation
Under hypoxic conditions (top), HIF-1α remains intact and enters the nucleus to interact with HIF-1β to effect gene expression that promotes hypoxia adaptability. In contrast, with normoxia (bottom), HIF-1α is hydroxylated by prolyl hydroxylases with subsequent binding to VHL, ubiquitination (Ub), and proteasomal degradation.
Genes regulated by HIF-1α (Fig. 2) are important for tumor metabolism, proliferation, survival, angiogenesis, and metastasis. Therefore, inhibition of HIF-1α and its related proteins has become a promising direction for anticancer therapy research.
Fig. 2. Genes that are regulated by HIF-1α
As oxygen supply in a tumor is frequently suboptimal, cancer cells often increase the expression of HIF-1α to stimulate gene expression that allows them to survive, proliferate, invade surrounding tissue, and metastasize to distant sites. In addition, the hypoxic tumor milieu can make cancer cells less sensitive to chemotherapy and radiotherapy.
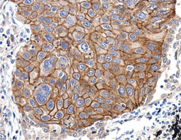
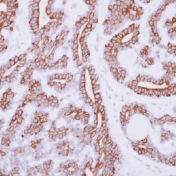
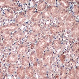
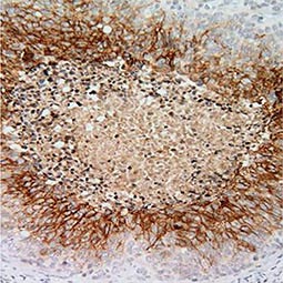
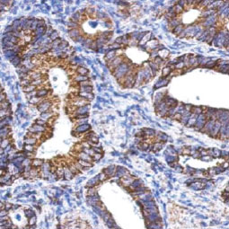
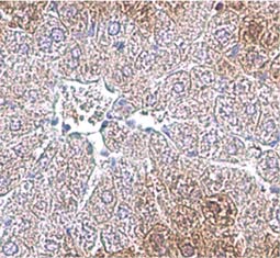
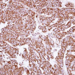
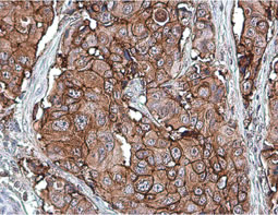
Since 2012, GeneTex has been dedicated to the development of antibody reagents that facilitate hypoxia research. These products are rigorously evaluated for specificity and performance through our enhanced validation protocols, and are supported by multiple citations.