Since its formation in 1982 dianova has provided the scientific community with antibodies, immunoassays and other life science reagents.
Dianova developes a proprietary product line that integrates selected antibodies with unique features for staining FFPE tissues.
By collaborating with both pathology institutes and contact in academia, Dianova are able to expand the range of unique antibodies for IHC applications.


Product Categories

NEUROPATHOLOGY

Under the brand dianovaTM BIOZOL presents a growing selection of premium antibodies available world wide. This selection comprises different product lines. Highlights outstanding antibodies for human pathology, that are suitable for standard formalin-fixed paraffin-embedded tissue sections and allow excellent staining results. In close collaboration with leading German pathological institutes BIOZOL will gradually extend the dianovaTM panel of own IHC antibodies with new unique antibodies.

The second group consists of research antibodies with unique properties for a variety of areas. The antibodies are selected and manufactured in close collaboration with distinguished academic institutes and allow most powerful laboratory analyses.

Anti-ATRX (Hu) from Mouse (Clone: AX1) – unconj.

Anti-IDH1 R132H (Hu) from Mouse (H09) – unconj.

Anti-BRAF V600E (Hu), ms clone HA01

Anti-IDH1 R132H (Hu) from Mouse (H09) – w/o BSA

Anti-IDH1 R132H (Hu) from Mouse (H09) – w/o BSA

Anti-IDH1 R132H (Hu) from Mouse (H09) – unconj. – prediluted RTU

Anti-GFAP (Hu) from Mouse (Clone: IF3) – unconj.

Anti-IDH1 R132H (Hu) from Mouse (H09) – unconj.

Anti-IDH1 R132H (Hu) from Mouse (H09) – unconj.

Anti-ATRX (Hu) from Mouse (Clone: AX1) – unconj.

RESEARCH

Under the brand dianovaTM BIOZOL presents a growing selection of premium antibodies available world wide. This selection comprises different product lines. Highlights outstanding antibodies for human pathology, that are suitable for standard formalin-fixed paraffin-embedded tissue sections and allow excellent staining results. In close collaboration with leading German pathological institutes BIOZOL will gradually extend the dianovaTM panel of own IHC antibodies with new unique antibodies.

The second group consists of research antibodies with unique properties for a variety of areas. The antibodies are selected and manufactured in close collaboration with distinguished academic institutes and allow most powerful laboratory analyses.

Anti-CD31 (Ms,Sw) from Rat (SZ31) – unconj. for mouse FFPE tissue

Anti-His Epitope Tag (rec) from Mouse (13/45/31) – unconj.

HisDirect His-Tag WB Staining Pads (30x) pmol/fmol-Range (RUO)

HisDirect His-Tag WB Staining Pads (10x) pmol/fmol-Range (RUO)

HisDirect His-Tag WB Staining Solution (10x10ml) pmol-Range ready-to-use (RUO)

HisDirect His-Tag WB Staining Solution (10x10ml) fmol-Range ready-to-use (RUO)

Anti-Fibroblasts (CD90, Thy-1) (Hu) from Mouse (AS02) – FITC (100 tests)

Anti-Fibroblasts (CD90, Thy-1) (Hu) from Mouse (AS02) – unconj.

Anti-His Epitope Tag (rec) from Mouse (13/45/31) – unconj.

Anti-His Epitope Tag (rec) from Mouse (13/45/31) – Biotin

Anti-His Epitope Tag (rec) from Mouse (13/45/31) – FITC (100

Anti-CD31 (Ms,Sw) from Rat (SZ31) – unconj. for mouse FFPE tissue

Anti-His Epitope Tag (rec) from Mouse (13/45/31) – unconj.

Anti-Fibroblasts (CD90, Thy-1) (Hu) from Mouse (AS02) – unconj.

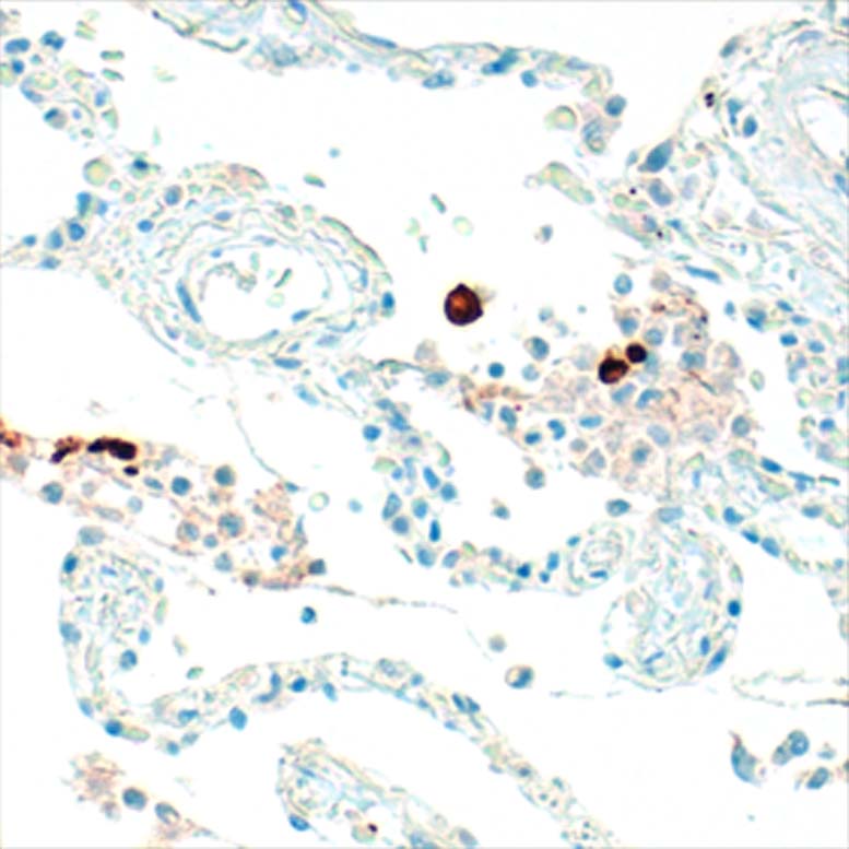
SARS-COV-2 SPIKE ANTIBODIES (FFPE)

The identification of SARS-CoV-2 viral proteins in human tissue specimen has attracted enormous research interest within the past two years. ·Compared to viral nucleocapsid proteins, generally displaying intense staining signals in positive tissue, detection of viral spike proteins in patient-derived lung tissue remains challenging. ·Our new anti-human SARS-CoV-2 Spike protein antibodies have been validated to differentiate Spike protein subtypes in infected tissue specimen by immunohistochemistry (Pictures courtesy of F. Heinrich, S. Krasemann, Center for Diagnostics, University Hospital Hamburg Eppendorf, UKE, Germany).

Anti- SARS-CoV-2 (COVID-19) Spike S1 from Rabbit – unconj.

Anti- SARS-CoV-2 (COVID-19) Spike S1 from Rabbit (HL134) – unconj.

Anti- SARS-CoV-2 (COVID-19) Spike S2 from Rabbit (HL1038) – unconj.

Anti- SARS-CoV-2 (COVID-19) Spike RBD from Rabbit (HL257) – unconj.

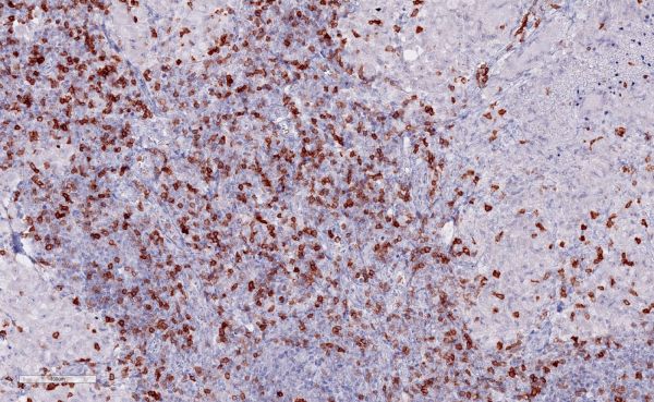
IMMUNOONCOLOGY

Under the brand dianovaTM BIOZOL presents a growing selection of premium antibodies available world wide. This selection comprises different product lines. Highlights outstanding antibodies for human pathology, that are suitable for standard formalin-fixed paraffin-embedded tissue sections and allow excellent staining results. In close collaboration with leading German pathological institutes BIOZOL will gradually extend the dianovaTM panel of own IHC antibodies with new unique antibodies.

The second group consists of research antibodies with unique properties for a variety of areas. The antibodies are selected and manufactured in close collaboration with distinguished academic institutes and allow most powerful laboratory analyses.

Anti-BRAF V600E (Hu), ms clone HA01

Anti-TIGIT (Hu) from Mouse (clone TG1) – w/o BSA.

Anti-TIGIT (Hu) from Mouse (clone TG1) – w/o BSA.

Anti- RAS (G12D Mutant) from Rabbit (HL10)

Anti- CA19-9 from Mouse (GT933)

Anti- RAS (G12V Mutant) from Rabbit (HL169)

Anti-PD-L1 from Rabbit (HL1041) – unconj.

Anti-CD112R/PVRIG (Hu) from Mouse (R12) – w/o BSA

Anti-CD112R/PVRIG (Hu) from Mouse (R12) – w/o BSA

Anti-CD112R/PVRIG (Hu) from Mouse (R12) – w/o BSA

Anti-TIGIT (Hu) from Mouse (TG2) – unconj.

Anti-FOXP3 (Hu) from Mouse (FX3) – unconj.

Anti-CD8 (Hu) from Mouse (TC8) – unconj.

Anti-TIGIT (Hu) from Mouse (TG1) – unconj.

Anti-CD112R/PVRIG (Hu) from Mouse (R12) – unconj.

Anti-CD73 (Hu) from Mouse (KK3) – unconj.

Anti-PD-L1 from Rabbit (HL1041) – unconj.

Anti-TIGIT (Hu) from Mouse (TG1) – unconj.

Anti-CD73 (Hu) from Mouse (KK3) – unconj.

Anti-CD8 (Hu) from Mouse (TC8) – unconj.

Anti-FOXP3 (Hu) from Mouse (FX3) – unconj.

Anti-CD112R/PVRIG (Hu) from Mouse (R12) – unconj.

GENERAL PATHOLOGY

Under the brand dianovaTM BIOZOL presents a growing selection of premium antibodies available world wide. This selection comprises different product lines. Highlights outstanding antibodies for human pathology, that are suitable for standard formalin-fixed paraffin-embedded tissue sections and allow excellent staining results. In close collaboration with leading German pathological institutes BIOZOL will gradually extend the dianovaTM panel of own IHC antibodies with new unique antibodies.

The second group consists of research antibodies with unique properties for a variety of areas. The antibodies are selected and manufactured in close collaboration with distinguished academic institutes and allow most powerful laboratory analyses.

Anti- SARS-CoV-2 (COVID-19) Spike S1 from Rabbit – unconj.

Anti- SARS-CoV-2 (COVID-19) Spike S1 from Rabbit (HL134) – unconj.

Anti- SARS-CoV-2 (COVID-19) Spike S2 from Rabbit (HL1038) – unconj.

Anti- SARS-CoV-2 (COVID-19) Spike RBD from Rabbit (HL257) – unconj.

Anti-mutated Calreticulin / CALR (Hu) from Mouse (CAL2) – unconj

Anti-mutated Calreticulin / CALR (Hu) from Mouse (CAL2) – unconj.

Anti-Ki-67/MIB1 (Hu) from Mouse (Clone: Ki-67P) – unconj.

Anti-PSA (KLK3) (Hu) from Mouse (HAM18) – unconj.

Anti-Ki-67/MIB1 (Hu) from Mouse (Clone: Ki-67P) – unconj.

Anti-GFAP (Hu) from Mouse (Clone: IF3) – unconj.

Anti-p53 (Hu) from Mouse (Clone: CC53) – unconj.

Anti-mutated Calreticulin / CALR (Hu) from Mouse (CAL2) – unconj.

Anti-PSA (KLK3) (Hu) from Mouse (HAM18) – unconj.

Anti-Ki-67/MIB1 (Hu) from Mouse (Clone: Ki-67P) – unconj.

Anti-p53 (Hu) from Mouse (Clone: CC53) – unconj.

SECONDARY ANTIBODIES

With more than 8.500 whole IgG and F(ab‘)2 secondary antibodies in our portfolio you will always find antibodies

Under the brand name dianovaTM BIOZOL presents a continuously growing range of premium antibodies for worldwide distribution.

With 1,500 secondary antibodies under the dianova brand, we now also offer a range of suitable detection reagents for many laboratory methods. These include enzyme conjugates for Western blot, ELISA and immunistochemistry, fluorescently labeled antibodies for immunofluorescence microscopy and other fluorescence-based methods, and a variety of specific and sensitive unconjugated secondary antibodies against many immunoglobulins of different classes and species.

The search with all secondary antibodies available at our company can be found here.

Anti-human IgE antibodies for serolgic analysis and immunoassay design in allergy diagnostics and and allergy research.

Immunoglobulin E (IgE) plays an important role in allergic reactions of the immediate type (type I). The total amount of IgE in blood serum is often elevated in allergic diseases such as allergic rhinitis (including especially hay fever and dust mite allergy) or bronchial asthma, but also in food allergies. Increased total IgE titers in serum can also frequently be found in connection with neurodermatitis (atopic eczema).

Clone GHE20 is already established in various immunoassays of our industry partners for the serolgoic detection of human IgE. From now on, our anti-human IgE (ε) antibody is also available for your serolgic analyses in allergy research or as a component for immunoassays.

We offer numerous anti-human IgE antibody conjugates for different enzymes and fluorescent dyes. As standard variants you receive unconjugated or conjugated antibodies with AP, HRPO, FITC and Biotin. In addition, we can meet your individual requirements and couple almost any conceivable conjugate to the IgE antibody. Use our conjugation service to customize antibodies for your specific test systems.

Use of anti-human IgE antibodies in ELISA

The mouse clone GHE20 is specific for the epsilon (ε)-chain of human IgE and shows no cross-reaction with human IgG, IgM, or IgA. Our anti-human IgE has been tested in ELISA applications and detects human IgE from various sources (e.g. plasma or serum) with high sensitivity.

Figure 1: Illustration of antibody sensitivity in an ELISA with different concentrations of the anti-human IgE clone GHE20 for detection on IgE-coated analysis plates.

 

Prod. No. Product Conjugation Qty
SCR-180656 anti-hu IgE, ms clone GHE20 unconj. 0,1 mg
SCR-180657 anti-hu IgE, ms clone GHE20 unconj. 0,5 mg
SCR-180659 anti-hu IgE, ms clone GHE20 HRPO 1 ml
SCR-180661 anti-hu IgE, ms clone GHE20 FITC 0,5 mg
SCR-180663 anti-hu IgE, ms clone GHE20 Biotin 0,5 mg
SCR-180665 anti-hu IgE, ms clone GHE20 Alk. Phos. 1 ml

ACCESSORY PRODUCTS

Under the brand dianovaTM BIOZOL presents a growing selection of premium antibodies available world wide. In addition, we offer several additional products and consumables. These are the popular Immunoselect Fluorescence Mounting Medium, Immunoselect Adhesion Slides for difficult sample material and Western Blot Staining Solutions for His-tagged proteins and Rabbit and Mouse Antibodies.

MouseDirect WB Staining Solution (5x10ml) for Mouse Antibodies ready-to-use (RUO)

RabbitDirect WB Staining Solution (5x10ml) for Rabbit Antibodies ready-to-use (RUO)

Blocking Buffer optimized for WB Staining Solution (5x10ml) (RUO)

HisDirect His-Tag WB Staining Pads (30x) pmol/fmol-Range (RUO)

HisDirect His-Tag WB Staining Pads (10x) pmol/fmol-Range (RUO)

HisDirect His-Tag WB Staining Solution (10x10ml) pmol-Range ready-to-use (RUO)

HisDirect His-Tag WB Staining Solution (10x10ml) fmol-Range ready-to-use (RUO)

Immunoselect Antifading Mounting Medium DAPI without hardener

Immunoselect Mounting Medium without hardener

ImmunoSelect Adhesive Slides

Immunoselect Antifading Mounting Medium PI without hardener

Immunoselect Antifading Mounting Medium PI 15 ml

Immunoselect Antifading Mounting Medium DAPI

Immunoselect Antifading Mounting Medium

ImmunoSelect Adhesive Slides

ImmunoSelect Adhesive Slides

ImmunoSelect Adhesive Slides

Immunoselect Mounting Medium without hardener

Immunoselect Antifading Mounting Medium DAPI without hardener

Immunoselect Antifading Mounting Medium

Immunoselect Antifading Mounting Medium PI

Immunoselect Antifading Mounting Medium DAPI

Immunoselect Antifading Mounting Medium PI without hardener

Immunoselect Antifading Mounting Medium DAPI

Immunoselect Antifading Mounting Medium PI without hardener

Immunoselect Antifading Mounting Medium

Immunoselect Antifading Mounting Medium PI

Immunoselect Mounting Medium without hardener

Immunoselect Antifading Mounting Medium DAPI without hardener

ImmunoSelect Adhesive Slides

ImmunoSelect Adhesive Slides

HisDirect His-Tag WB Staining Pads (30x) pmol/fmol-Range (RUO)

HisDirect His-Tag WB Staining Pads (10x) pmol/fmol-Range (RUO)

HisDirect His-Tag WB Staining Solution (10x10ml) fmol-Range ready-to-use (RUO)

HisDirect His-Tag WB Staining Solution (10x10ml) pmol-Range ready-to-use (RUO)

HisDirect His-Tag WB Staining Pads (30x) pmol/fmol-Range (RUO)

Product Literature


Clinical Diagnostics and Pathology Testing

Sample Collection and Purification for Clinical DiagnosticsPoint of Care Blood MicrosamplingStool Collection and DNA ExtractionSaliva Collection DevicesBlood DNA PurificationViral, Bacterial Read More...

Clinical Diagnostic Application Reagents

Patient Sample Collection Quantitative blood collection, saliva and stool collection devices for human and veterinary diagnostics. Accurate Dried Blood Spot Read More...

Anti-CALRmut antibody CAL2 for IHC detection of all CALRETICULIN mutations in MPNs

CAL2 enables reliable distinction of CALR mutated ET and PMF from PV and reactive bone marrow alterations. MPNs – Myeloproliferative Read More...

Monoclonal Antibodies

At Stratech, we specialise in providing a comprehensive range of monoclonal antibodies (mAbs) for scientific research. We partner with state-of-the-art Read More...

Classification of diffuse Gliomas

Glioma Diagnosis by IHC

The routine practical approach for diagnosing astrocytomas and oligodendrogliomas begins with perfoming IHC for ATRX and IDH1 R132H expression. Stepwise Read More...

First for Antibodies

Stratech Scientific have been successful in a recent antibodies tender from the Southern Universities Purchasing Consortium. In the award criterion Read More…

Anti-IDH1 R132H (clone H09) Clinical Relevance

Anti-IDH1 R132H (Hu) from Mouse (H09) - unconjugatedAnti-IDH1 R132H (Hu) from Mouse (H09) - unconjugated - prediluted RTU Gliomas constitute Read More...

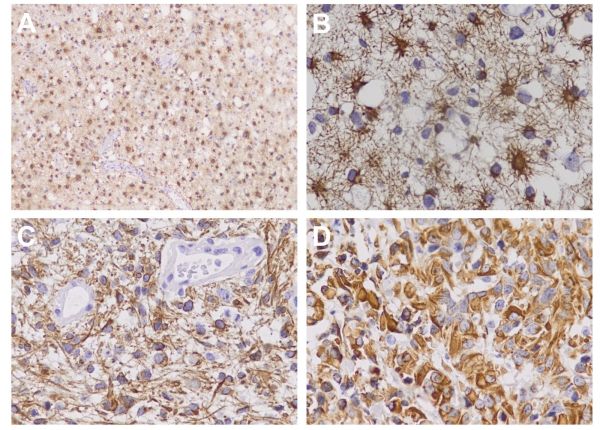
Anti-IDH1 R132H antibody clone H09

Image Gallery Precision diagnosis of brain tumours with anti-IDH1 R132H antibody clone H09 More than 70% of all Gliomas exhibit Read More…

IDH Mutations

IDH mutations in glioblastoma and low-grade glioma In 2008 whole genome analysis of human glioblastomas led to the discovery of Read More…

Resisting Cell Death

In order to survive and proliferate, cancer cells must overcome and avoid the diverse range and number of cell death Read More…